Prețul unei All-on-8 în Ungaria
Costul mediu al unei All-on-8 în Ungaria în Budapesta este de 7.000 de euro. În funcție de nevoile dumneavoastră, prețul poate varia de la 6500 € la 7500 €.
| Procedura | Preț Ungaria |
|---|---|
| All-on-8 | 7000 € |
Ce este un All-on-8?
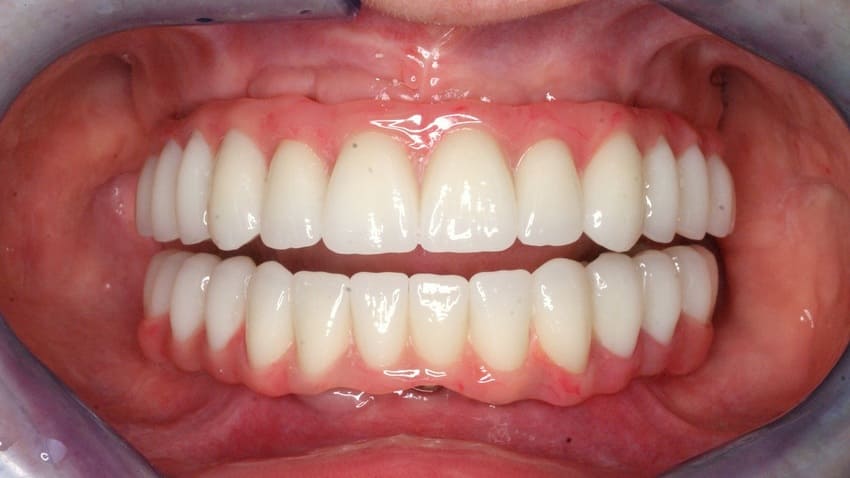
Implanturile dentare All-on-8 din Ungaria sunt o soluție chirurgicală nouă pentru pacienții care și-au pierdut majoritatea sau toți dinții. Proteza All-on-8 este potrivită pentru înlocuirea unui set complet de dinți atât pe maxilarul superior, cât și pe cel inferior al pacientului.
Deoarece această tehnică de restaurare dentară implică plasarea implanturilor în mod strategic și în anumite unghiuri, sunt necesare opt implanturi de titan pentru a asigura o stabilitate și o rezistență suficiente. Gata cu protezele detașabile șubrede și cu masticația redusă! Cele opt proteze vor restabili funcția masticatorie pierdută, permițându-vă să vă bucurați din nou de mesele preferate.

Avantajele protezei dentare all-in-one în Ungaria
Implanturile All-on-8 din Ungaria oferă multe beneficii pacienților, dintre care estetica îmbunătățită, durabilitatea și funcționalitatea masticatorie naturală sunt cele mai importante.
- Proteza dentară all-on-8 în Ungaria este o soluție perfectă pentru pacienții care și-au pierdut toți dinții din maxilarul superior sau inferior și care nu doresc să opteze pentru proteze detașabile care s-ar putea să nu se potrivească corect, să se slăbească în timp sau să nu ofere aceeași funcționalitate de masticație ca și dinții naturali;
- Această tehnică, dezvoltată la Budapesta, poate fi utilizată pentru refacerea maxilarului inferior și superior, deși pentru maxilarul superior pot fi necesare două implanturi suplimentare din titan;
- All-on-8 poate fi o soluție bună, chiar și pentru pacienții care suferă de boală parodontală sau recesiune osoasă;
- Costuri generale reduse și durabilitate crescută;
- Îmbunătățirea esteticii și a funcției de masticație.

Dezavantajele protezelor All-On-8 în Ungaria
Pe lângă numeroasele avantaje în favoarea implanturilor dentare All-On-8, există și câteva dezavantaje:
- Nu toți pacienții pot beneficia de această procedură;
- Există un risc de eșec al implantului, dar acest risc este scăzut.
Candidatul ideal pentru un all-on-8 în Ungaria
Pacienții diabetici, fumătorii înrăiți și pacienții cu recesiune osoasă foarte avansată pot beneficia de procedura “all-on-8”, deoarece există mai multe puncte de fixare și riscul de desprindere este foarte scăzut, mai ales pe un maxilar în stare proastă.

Pacienții cu densitate osoasă scăzută sunt candidații ideali, dar poate fi necesară o grefă osoasă, ceea ce va crește durata totală a procedurii.
În fiecare caz, în timpul unei evaluări inițiale, medicul stomatolog va stabili dacă pacienții sunt buni candidați pentru această operație și va propune alte planuri de tratament dacă nu îndeplinesc condițiile necesare pentru o proteză susținută de implanturi
Profitați de o evaluare GRATUITĂ!
La cerere și
fără nicio obligație din partea dumneavoastră.
Consultație 100% gratuită. Analizăm situația dumneavoastră, nevoile și așteptările dumneavoastră. Și estimăm bugetul necesar pentru : Zbor + Hotel + Taxi + Tratament.
În orice moment, păstrați controlul complet asupra procesului. O liniște totală.