CeaMaiBunaClinica.com oferă informații despre fațetele dentare Emax în Turcia și vă ajută să rezervați o operație cu chirurgi turci calificați. Acest conținut are doar scop informativ și nu este menit să înlocuiască sfatul unui profesionist din domeniul medical.
Cât costă o fațetare Emax în Turcia?
Costul mediu al unei fațete Emax în Turcia este de 230 €. Medicul dentist anesteziază dinții. Tratamentul durează 6 zile. Durata șederii în Istanbul este de 8 zile. Prețul variază în funcție de expertiza dentistului, de numărul de fațete care trebuie montate și de dimensiunea maxilarului pacientului. Rezultatul final este vizibil imediat.
| Fațete dentare din zirconiu | 180 € |
| Fațete dentare din ceramică | 200 € |
| Fațeta dentară Emax | 230 € |
| Fațeta dentară Lumineers | 390 € |
Zâmbetul de la Hollywood a făcut furori în ultimii ani! Dar… Pentru a avea dinții perfecti, ai nevoie de un portofel bine aprovizionat, mai ales în Europa. Poți beneficia de îngrijiri dentare de ultimă generație la un preț competitiv! Descoperiți fațetele dentare Emax în Türkiye!
Ce este fațeta dentară Emax?
Tratamentul Emax a fost creat de către compania Empress și înseamnă Maximum Empress. O fațetă dentară Emax este o fațetă peliculară realizată din porțelan armat. Este o ceramică arsă și presată.

Protezele dentare Emax sunt disponibile în mai multe nuanțe. Fiecare fațetă Emax este translucidă și are un aspect natural. În plus, fațeta dentară Emax din Turcia folosește un material care oferă o rezistență ridicată și o durată de viață lungă.
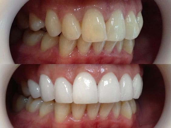
Fotografii înainte și după
Cine sunt cei mai buni candidați?
Pentru a beneficia de o fațetare dentară Emax în Turcia, trebuie să aveți o ocluzie dentară normală , fără :
- Dinți deteriorați,
- Dinți decolorați sau pătați,
- Dinți rupți,
- Coroane vechi care trebuie înlocuite..
Notă importantă: o fațetă Emax nu poate fi plasată pe un dinte cariabil sau în locul unui dinte lipsă.
Avantajele fațetelor Emax: Acest material este realizat în întregime din porțelan și nu are suport metalic. Este potrivit pentru persoanele alergice la metal.

De asemenea, este potrivit pentru persoanele cărora nu le place linia gri care apare pe gingii atunci când o coroană convențională este retrasă. Această procedură este potrivită atât pentru bărbați, cât și pentru femei.
Procedura
Devizul se întocmește pe baza diagnosticului medicului stomatolog, după ce vă analizează dosarul medical. Apoi, odată ajuns în Turcia, medicul stomatolog va efectua un examen clinic pe baza dentiției dumneavoastră, pentru a confirma eligibilitatea dumneavoastră pentru fațete dentare în Turcia.
Aveți HIV? O clinică specială a fost amenajată pentru a vă monta fațete dentare Emax în deplină siguranță pentru dumneavoastră și pentru personal.
Înainte de montare
Se poate efectua un prediagnostic de la distanță, în special pentru a vă oferi o ofertă în funcție de numărul de fațete pe care le doriți. Cu toate acestea, o consultație față în față este esențială înainte de a monta protezele dentare Emax în Turcia.
Datorită unui examen clinic la cabinetul stomatologic din Turcia, chirurgul se poate asigura că dinții dumneavoastră sunt sănătoși.

Ziua montării
Protezele dentare Emax din Turcia sunt realizate la comandă într-un cabinet stomatologic de înaltă tehnologie. Tratamentul se realizează în 2 sau 3 ședințe pe parcursul unei singure săptămâni. Procedura se desfășoară în 4 etape:
1- Modelarea viitorului zâmbet
Pentru a face acest lucru, medicul stomatolog estetician face fotografii ale dinților dumneavoastră. Apoi, acesta face măsurători. Apoi se introduce o piesă bucală în gură pentru a vă modela dinții.
2- Injectarea unui anestezic
Fațetele dentare Emax sunt montate în Turcia sub anestezie locală. Anestezicul este folosit pentru a scobi dinții unde vor fi plasate fațetele la o grosime de 2 mm.
3- Efectuarea de noi măsurători
După ce dinții au fost scobiți, medicul stomatolog ia din nou măsurătorile acestora. Apoi se lipesc fațetele temporare. Doar atât cât să fie gata fațetele permanente.

4- Montarea fațetelor permanente Emax
Nu este nevoie să lucrați pe dinți așa cum ați face-o cu o coroană sau cu orice alt furnir convențional. Fațetele Emax definitive sunt pregătite în laborator.
Odată ce acestea sunt gata (la câteva zile după turnare). Vă întoarceți la cabinet pentru o ședință pentru ca fațetele Emax să vă fie montate definitiv în Turcia.
În general, procedura poate dura între 35 de minute și 4 ore. Aceasta depinde de numărul de fațete comandate. Mai mult, o fațetă dentară Emax durează între 10 și 15 ani, cu condiția să mențineți o bună igienă orală.
După montare
Puteți mânca după ce a fost montată o proteză dentară Emax în Istanbul. Cu toate acestea, veți simți probabil un ușor disconfort. Acesta va dura câteva zile, timp în care vă veți obișnui cu noua dvs. gură.
La două zile după operație, veți face un control medical cu chirurgul dentar. Dacă totul merge bine, vă puteți întoarce acasă și puteți urma recomandările medicului pentru a vă păstra fațetele în stare bună.

Riscuri, complicații și efecte secundare
Pot exista unele riscuri rare atunci când se montează fațete dentare Emax:
- Sensibilitate dentară ;
- Disconfort general ;
- Gingii inflamate ;
- Risc crescut de deteriorare a pulpei dentare;
- Nuanțe contrastante între diferiți dinți.
De aceea, ar trebui să aveți încredere în noi pentru a vă ajuta să alegeți chirurgul potrivit în Istanbul și să optați pentru un practician cu reputație și experiență.
Acest tip de intervenție chirurgicală este islamică și legală. Este o chirurgie halal, nu haram, deoarece îmbunătățește calitatea vieții celor care au nevoie de ea.
Au fost luate măsuri pentru a ne asigura că persoanele cu dizabilități pot profita pe deplin de facilitățile noastre.
Precauții de luat după aplicarea fațetelor dentare Emax în Turcia
Emax este un tip de fațete dentare care este rezistent la abraziune și la reținerea petelor. Dar asta nu înseamnă că nu trebuie să ai grijă de ea. De fapt, după montarea unei fațete dentare Emax în Turcia, este recomandat să :
- Să vă spălați pe dinți după fiecare masă cu o periuță de dinți moale,
- Să vă clătiți dinții cu apă de gură,
- Să folosiți ața dentară în fiecare seară,
- Evitați să mestecați alimente tari (cu riscul de a pierde o fațetă ca Maeva Ghennam)
- Scăpați de obiceiurile proaste (roaderea unghiilor, mușcarea vârfurilor de pix, strângerea dinților, etc.)
- Și faceți un detartraj regulat.

În concluzie, așteptăm cu nerăbdare să vă organizăm călătoria la Istanbul, astfel încât să putețiafișa un zâmbet de Hollywood, cât mai repede și la cel mai bun preț posibil. Solicitați acum o ofertă personalizată gratuită!
Cât costă o fațetă dentară Emax în Turcia?
În Turcia, o fațetare dentară Emax costă 250 de euro pe dinte la una dintre cele mai bune clinici dentare. În Europa, prețul unei singure fațete dentare Emax este de 1.200 €. Acest preț include consultația preoperatorie, radiografia, amprenta, montajul, anestezia, hotelul și transferul de la aeroport.
Dacă aveți probleme în a vă decide, vă putem ajuta să reușiți procedura, și la un preț redus.
Profitați de o evaluare GRATUITĂ!
La cerere și
fără nicio obligație din partea dumneavoastră.
Consultație 100% gratuită. Analizăm situația dumneavoastră, nevoile și așteptările dumneavoastră. Și estimăm bugetul necesar pentru : Zbor + Hotel + Taxi + Tratament.
În orice moment, păstrați controlul complet asupra procesului. O liniște totală.
Întrebări frecvente
Cum îmbătrânește o fațetă dentară Emax în Turcia?
Fațetele dentare Emax sunt foarte populare, deoarece îmbătrânesc mai bine decât fațetele din compozit. Peliculele Emax durează între 10 și 15 ani și nu se micșorează. Cu toate acestea, o igienă orală precară poate face ca fațetele Emax să se desprindă sau să cadă.
Pot să aleg forma și culoarea fațetelor Emax din Istanbul?
Puteți alege culoarea și forma fațetelor Emax în Istanbul. Fațetele Emax sunt disponibile în mai multe nuanțe și sunt fabricate în laborator în conformitate cu modelul întocmit cu ajutorul unui software în timpul consultațiilor preoperatorii.
Sunt fațetele dentare Emax reversibile?
Nu, montarea fațetelor dentare Emax este o operațiune ireversibilă. Mai mult, dacă montarea este reușită, veți avea liniște pentru următorii 15 ani, cu condiția să păstrați o bună igienă orală. De altfel, această tehnică poate fi repetată de 1 sau 2 ori într-o viață.
Pot cădea fațetele?
Este rar, dar posibil, ca fațetele dentare să cadă. Dacă se întâmplă acest lucru și dacă fațeta care a căzut este încă intactă, aceasta poate fi lipită la loc. Acest lucru îi prelungește durata de viață. Cu toate acestea, trebuie să se acorde o atenție și mai mare după ce se lipește din nou o fațetă care a căzut.
Poate un strat dentar să deterioreze dinții?
O fațetă dentară Emax vă oferă dinți simetrici și un zâmbet de un alb orbitor. Pentru a obține acest rezultat, trebuie îndepărtați câțiva milimetri de smalț pentru a monta fațetele. Dar stați liniștiți, această procedură nu vă deteriorează dinții.
Este dureroasă aplicarea fațetelor dentare Emax?
Nu, nu veți simți nicio durere în timpul acestei operații. Pentru că fațetele dentare Emax sunt montate sub anestezie locală. Singurul dezavantaj este că procedura este ireversibilă. Dar rezultatul este, în general, în conformitate cu așteptările pacienților.




