- Cât costă o fațetare dentară în Spania?
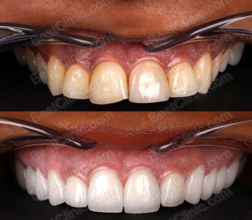
- Ce sunt fațetele dentare?
- Beneficiile fațetelor dentare
- Diferitele tipuri de fațete dentare
- Pentru cine sunt concepute fațetele dentare?
- Cum se aplică fațetele dentare?
- Ce măsuri de precauție trebuie să iau după aplicarea fațetelor dentare?
- Cât costă fațetele dentare în Spania?
Cât costă o fațetare dentară în Spania?
Costul mediu al unei fațete dentare în Spania este de 430 de euro. În funcție de nevoile dumneavoastră, un zâmbet Hollywood Smile cu 14 dinți poate varia între 5.500 și 6.500 de euro.
| Fațetare dentară din compozit | 380 € |
| Fațetare dentară ceramică | 450 € |
| Fațeta dentară Lumineers | 750 € |
Ce sunt fațetele dentare?
Fațetele dentare sunt pelicule sau cochilii subțiri din ceramică sau compozit, care sunt plasate pe partea exterioară a dinților. În general, acestea au o grosime de aproximativ 0,5 mm. Aceste fațete pot fi aplicate pe incisivi și canini, sau chiar pe premolari. Fațetele dentare corectează aspectul dinților vizibili, mascând aspectul, poziția sau culoarea acestora.

Este o soluție estetică, ușor de aplicat și mai puțin costisitoare decât implanturile sau coroanele. Fără a necesita o intervenție chirurgicală invazivă, fațetele oferă rezultate de lungă durată. Deși nu înlocuiesc tratamentul ortodontic sau protetic, ele armonizează zâmbetul pe termen lung. Veți avea zâmbetul la care ați visat pentru mulți ani de acum încolo.
Beneficiile fațetelor dentare
Fațetele dentare îmbunătățesc aspectul dinților dvs. oferind o serie de avantaje:
- Sunt mai puțin costisitoare decât alte dispozitive dentare;
- Nu sunt o procedură invazivă;
- Păstrează smalțul dentar și nu necesită îndepărtarea unei mari cantități de smalț dentar, ceea ce reduce riscul de boală parodontală;
- Sunt realizate pe măsură, deci sunt confortabile de purtat;
- Sunt de lungă durată.
Diferitele tipuri de fațete dentare
Există diferite tipuri de fațete dentare, în funcție, în principal, de materialele folosite.

Fațete dentare din compozit
Fațetele dentare din compozit sunt realizate din rășină de culoarea dinților. Spre deosebire de fațetele ceramice, aceste fațete nu necesită o pregătire specială a dinților. Ele pot fi montate prin două tehnici:
- Aplicarea directă, când fațeta este realizată direct la medicul dentist, în gura dumneavoastră;
- Aplicarea indirectă, în care fațetele sunt realizate de un tehnician dentar după modelare, ca în cazul fațetelor ceramice.
Fațetele din compozit sunt mai puțin costisitoare decât cele din ceramică, dar culoarea lor este mai instabilă și sunt puțin mai puțin solide.
Fațete dentare ceramice
Acestea sunt cochilii subțiri care acoperă partea exterioară a dinților pentru a le corecta forma sau culoarea. Aceste fațete sunt lipite pe dinții existenți pentru a corecta zâmbetul pacientului.
Dintre fațetele ceramice, fațetele Lumineers și Glamsmile au fost utilizate pe scară largă timp de aproximativ 30 de ani și și-au construit o reputație excelentă. Acestea sunt fațete ceramice peliculare foarte subțiri, cu o grosime de cel mult 0,3 mm.
Vezi și: Prețul fațetelor Lumineers în Turcia

De asemenea, acestea sunt extrem de rezistente și pot dura mai mult de 20 de ani. Cu toate acestea, durează ceva mai mult timp pentru a fi prelucrate. În plus, pot fi oferite doar pacienților ai căror dinți au doar defecte ușoare, fără deformări sau suprapuneri.
Pentru cine sunt concepute fațetele dentare?
Fațetele dentare sunt un tratament estetic foarte popular, care abordează o serie de probleme diferite:
- Schimbarea culorii dinților care pot fi colorați sau îngălbeniți.
- Schimbarea formei dinților. Incisivii sau caninii pot fi prea scurți sau prea mici.
- Mascarea dinților nealiniați sau a dinților cu spații inegale între ei.
Cu toate acestea, fațetele dentare nu sunt recomandate persoanelor care :
- suferă de bruxism sau de boli parodontale, cum ar fi gingivita sau parodontita.
- au dinții deteriorați sau prost poziționați.
- au deficiență de smalț.
Pe scurt, fațetele dentare sunt potrivite pentru persoanele care doresc să își armonizeze zâmbetul, să restabilească o nuanță mai albă sau să corecteze defecte minore ale dinților vizibili.

Zâmbetul de la Hollywood este o referință la zâmbetul perfect al vedetelor de film. Acest ideal de frumusețe poate fi atins cu ajutorul fațetelor dentare.
Cum se aplică fațetele dentare?
Medicul stomatolog va efectua o examinare amănunțită a dinților dvs. pentru a se asigura că aveți o bună igienă orală.
În timpul primei ședințe, dentistul pregătește dinții. Pentru a face acest lucru, el reduce grosimea smalțului și șlefuiește suprafața dinților care vor primi fațetele. O fațetă are o grosime de numai aproximativ 0,5 mm.
În continuare, medicul dentist va face o fotografie a zâmbetului dvs. și vă va radiografia dinții. De asemenea, va lua amprentele dinților dumneavoastră, pe care le va trimite la laboratorul de protetică, care va realiza fațetele pe măsură.

Câteva săptămâni mai târziu, dentistul va aplica fațetele. Dentistul folosește un adeziv dentar și o lampă de polimerizare. Această etapă se desfășoară, în general, sub anestezie locală. Nu este dureroasă, dar poate fi inconfortabilă, deoarece durează mult timp. Durează între 30 și 60 de minute pentru fiecare dinte. Prin urmare, pot fi necesare trei sau patru ședințe pentru a obține noul dumneavoastră zâmbet.
Dacă ați ales fațete din compozit aplicate direct pe dinți, este nevoie de o singură ședință, deoarece dentistul le poate aplica direct, fără matrițe dentare.
Ce măsuri de precauție trebuie să iau după aplicarea fațetelor dentare?
Pentru a maximiza durata de viață a fațetelor dentare, trebuie să aveți o îngrijire impecabilă a gurii dumneavoastră. În special, trebuie să vă spălați pe dinți cel puțin de două ori pe zi, folosind o periuță de dinți moale și o pastă de dinți care conține fluor.
De asemenea, este indicat să folosiți zilnic ața dentară sau o periuță interdentară pentru a curăța spațiile dintre dinți.

Cât costă fațetele dentare în Spania?
În Spania, prețul unitar al unei fațete dentare din compozit este de 380 de euro, al unei fațete ceramice de 480 de euro și al unei fațete Lumineers de 750 de euro. Acest preț include onorariul dentistului pentru montarea fațetelor dentare, produsele anestezice și medicamentele.
Dacă aveți probleme în a face o alegere, vă putem ajuta să reușiți să faceți o procedură de succes, și la un preț redus.
Profitați de o evaluare GRATUITĂ!
La cerere și
fără nicio obligație din partea dumneavoastră.
Consultație 100% gratuită. Analizăm situația dumneavoastră, nevoile și așteptările dumneavoastră. Și estimăm bugetul necesar pentru : Zbor + Hotel + Taxi + Tratament.
În orice moment, păstrați controlul complet asupra procesului. O liniște totală.