CeaMaiBunaClinica.com vă oferă informații despre fațetele dentare Lumineers în Turcia și vă ajută să rezervați o operație cu chirurgi calificați. Acest conținut are doar scop informativ și nu este menit să înlocuiască sfatul unui profesionist din domeniul medical.
- Prețul fațetelor dentare Lumineers în Turcia
- Ce sunt fațetele dentare Lumineers?
- Fotografii înainte și după
- De ce să alegeți fațetele Lumineers?
- Avantajele fațetelor dentare Lumineers
- Ce face ca fațetele Lumineers să fie diferite?
- Riscuri, complicații și efecte secundare
- Cât timp durează?
- Cât costă o fațetă dentară Lumineers?
- Pot fi aplicate fațete Lumineers pe alte fațete?
- Cui se adresează Lumineers?
- Cât costă o fațetă dentară Lumineers?
- Întrebări frecvente
Prețul fațetelor dentare Lumineers în Turcia
Costul mediu al unei fațete dentare Lumineers® în Istanbul, Turcia, este de 300 €. În funcție de nevoile dumneavoastră, prețul poate varia între 180 € și 390 €. Prețul variază în funcție de reputația clinicii și de cantitatea de fațete.
Procedura se efectuează sub anestezie locală și durează o săptămână. Durata șederii la Istanbul este de 8 zile, cu 4 vizite la dentist. Prețul include operația și medicația. Rezultatul final este vizibil imediat.
| Fațeta dentară din zirconiu | 180 € |
| Fațeta dentară din ceramică | 200 € |
| Fațeta dentară Emax | 250 € |
| Fațeta dentară Lumineers | 390 € |
Ce sunt fațetele dentare Lumineers?
Fațetele Lumineers sunt acoperiri ultra-subțiri pentru dinții dumneavoastră, realizate din porțelan cu aspect natural sau dintr-un alt material de înaltă calitate. Acestea oferă rezultate imediate, odată fixate, pentru a vă oferi un zâmbet ideal. Această procedură este potrivită atât pentru bărbați, cât și pentru femei.
Ele tratează imperfecțiunile minore ale zâmbetului dvs. care nu justifică un tratament cosmetic major și pot fi aplicate fără cusur peste dintele existent.
Intervenția chirurgicală este, în general, mult mai puțin invazivă decât procesul de montare a unei fațete din porțelan. Luminerele dentare din Istanbul sau Antalya sunt realizate din porțelan, un material extrem de rezistent și durabil.

O fațetă dentară este una dintre cele mai populare modalități de a schimba forma, aspectul și culoarea unui dinte. În prezent, pacienții au mai multe opțiuni de fațetare decât oricând, datoritătehnologiilor, materialelor și tehnicilorîmbunătățite.
Clinicile stomatologice turcești sunt specializate într-un tip relativ nou de tratament cu fațete numit Lumineers®. Dacă doriți să faceți modificări cosmetice ale zâmbetului dumneavoastră, fațetele Lumineers pot fi soluția ideală.
În cele mai multe cazuri, Lumineers în Turcia poate fi folosit pentru a crea un zâmbet puternic, personalizat și pentru a acoperi imperfecțiunile. Luminerele sunt subțiri și necesită îndepărtarea câtorva milimetri de smalț de pe suprafața dintelui înainte de montare. Fațetele Lumineers® din Istanbul și Antalya pot fi plasate direct peste structura originală a dintelui.

Fațetele Lumineers din Turcia pot îmbunătăți aspectul dinților strâmbi și nealiniați, vă pot oferi un zâmbet mai alb și mai strălucitor, pot ascunde un dinte crăpat sau ciobit, pot acoperi spațiile dintre dinți, pot avea un aspect natural într-un mod confortabil, vă pot oferi un strat subțire de porțelan pe fiecare dinte, pot fi ușor de întreținut cu o suprafață puternică și durabilă.
Fațetele în Turcia sunt folosite pentru o varietate de scopuri. Fațetele dentare sunt identificate ca fiind o soluție permanentă pentru imperfecțiunile dentare minore, cum ar fi decolorarea, fisurile, așchiile și chiar dinții foarte pătați sau decolorați sau obturațiile dentare.
Fațetele sunt folosite ca o mască pentru a ascunde imperfecțiunile de pe suprafața dinților. Medicul stomatolog din Turcia de la centrul nostru stomatologic din Istanbul și Antalya vă va oferi fațete tradiționale, fațete din porțelan sau fațete Lumineers® după verificarea nivelului osos în clinica dentară.
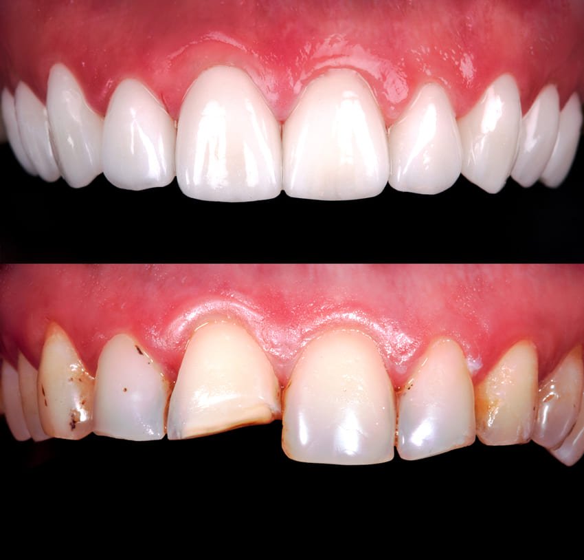
Fotografii înainte și după
De ce să alegeți fațetele Lumineers?
Lumineers sunt un tip unic de fațete. Principalul avantaj al fațetelor Lumineers este că nu necesită același grad de pregătire a suprafeței dentare ca și fațetele tradiționale, deoarece sunt extrem de subțiri și se lipesc rapid de suprafața dintelui.
Fațetele dentare Lum ineers sunt o opțiune excelentă pentru transformarea rapidă a zâmbetului dumneavoastră în cazul imperfecțiunilor dentare minore. Cea mai bună opțiune pentru îmbunătățirea zâmbetului și pentru a arăta mai natural din punct de vedere estetic este vizitarea clinicii stomatologice din Istanbul sau Antalya, iar un set complet de fațete va fi oferit ca parte a celor mai bune servicii oferite pacientului.
Dacă există un decalaj între dinți și vă simțiți jenat. Lumineers este o procedură rapidă și neinvazivă pentru eliminarea spațiilor dintre dinți.
Aceștia pot conferi dinților un aspect natural și sănătos și, deoarece sunt foarte subțiri și sunt ținuți în poziție printr-o legătură specială puternică (un pic ca Super Glue), este nevoie de foarte puțină pregătire a dinților.
Și pot îmbunătăți culoarea, forma și poziția dinților. Se poate alege o anumită nuanță de porțelan pentru a da culoarea potrivită pentru a îmbunătăți un singur dinte decolorat sau pătat sau pentru a lumina dinții din față (de obicei cei de sus) în general.
O fațetare poate reda un dinte ciobit la un aspect intact. Porțelanul acoperă întreaga parte frontală a dintelui, cu o secțiune mai groasă care înlocuiește partea spartă. Fațetele pot fi, de asemenea, folosite pentru a umple mici lacune atunci când ortodonția (aparatul dentar) nu este potrivită. Dacă un dinte este ușor deplasat, uneori se poate plasa o fațetă pentru a-l alinia cu ceilalți.
Dacă aveți anomalii sau defecte la nivelul dinților, lipirea cu compozit funcționează, de asemenea, foarte bine. Lipirea nu durează la fel de mult ca un furnir sau Lumineer, iar culoarea este ternă și nu reflectă lumina ca un Lumineer; cu toate acestea, partea pozitivă a lipirii este că este accesibilă în comparație cu un furnir sau Lumineer.
Avantajele fațetelor dentare Lumineers

Fațetele dentare Lumineers oferă o gamă largă de avantaje față de tratamentele similare. Cel mai semnificativ avantaj pentru pacienții anxioși care vizitează clinicile stomatologice este faptul că nu sunt necesare modificări dureroase ale dinților înainte de aplicarea Lumineers. Învelișurile în sine sunt atât de subțiri și discrete încât vorbirea și mâncatul sunt rareori afectate.
Iată câteva dintre celelalte beneficii ale Lumineers:
- Durează peste 20 de ani.
- Nu necesită forarea brutală a mecanismelor interne ale dintelui
- Fără injecții.
- Fără durere sau disconfort.
- Sunt necesare doar două vizite la o clinică dentară din Turcia.
- Pot fi plasați mai mulți Lumineers în același timp.
- Dinți perfecți, de un alb perlat, care arată aproape ca dinții naturali.
- Acoperire mult mai fină.
- Un tratament complet reversibil.
- Rezultatul este un zâmbet perfect.
Un alt avantaj al fațetelor dentare Lumineers este că nu va trebui să purtați fațete temporare în timp ce așteptați ca fațetele permanente să fie frezate de laboratorul dentar.
După o programare inițială pentru fațetele tradiționale, va trebui să purtați dinți temporari până la următoarea programare pentru a vă proteja dintele acum sensibil și pentru a ascunde aspectul deformat al acestuia.
Acești dinți temporari nu sunt realizați pe măsură de către un laborator dentar și este posibil să nu se potrivească cu zâmbetul dumneavoastră. Acesta este motivul pentru care mulți pacienți sunt nemulțumiți de aspectul și senzația fațetelor temporare.

Ce face ca fațetele Lumineers să fie diferite?
Fațetele dentare Lumineers sunt realizate din porțelan, care este cunoscut pentru rezistența sa excepțională. Chiar dacă Lumineers sunt mult mai subțiri decât fațetele dentare din porțelan, este mai puțin probabil să se rupă sau să se ciobească. În plus, culoarea porțelanului poate fi modificată și echilibrată. Acest lucru înseamnă că se pot obține diferite niveluri de opacitate și transluciditate.
Mai mult, unul dintre principalele motive pentru care fațetele dentare Lumineers sunt atât de ușor de montat este faptul că trebuie făcute puține gravuri în prealabil. În cazul fațetelor din porțelan, este posibil ca dinții să trebuiască să fie permanent modificați sau găuriți pentru a asigura cea mai bună potrivire posibilă.
Cu toate acestea, Lumineers dentare oferă un produs final frumos, fără niciun fel de găurire, anestezie sau gravură extinsă atunci când vizitați clinicile dentare din Turcia.
Numai acest lucru poate reduce timpul petrecut pe scaunul stomatologic la aproape jumătate, în comparație cu fațetele tradiționale, și se prezintă un serviciu de înaltă calitate pentru a obține cel mai bun design al zâmbetului.

În timpul vizitei inițiale, medicul stomatolog poate lua o amprentă de mușcătură și radiografii pentru a determina exact cum se potrivesc dinții între ei. Amprentele de mușcătură sunt trimise la laborator pentru ca Luminerele dumneavoastră să fie realizate pe măsură.
Deasemenea, dentistul examinează cu atenție dinții pentru a se asigura că nu există carii sau semne de afecțiuni gingivale. Împreună cu medicul dentist și echipa sa, alegeți culoarea Lumineers (poate pentru a se potrivi cu dinții recent albiți) și discutați despre nivelul dorit de transparență.
Luminerele sunt lipite pe dinți la a doua programare. Odată ce Lumineers sunt la locul lor, medicul dentist îi lustruiește cu atenție până când sunt complet netezi. Avantajul acestei netezeli este că bacteriile și agenții de colorare nu pot adera cu ușurință la suprafața Lumineers.
În cele din urmă, Luminerele sunt separate. Până în acest moment, ei sunt încă fixați acolo unde impresiunile ocluzale sugerează că dinții s-ar întâlni în mod natural. Tratamentul este finalizat, lăsând un zâmbet alb și frumos și dinți perfecți și sănătoși.

Riscuri, complicații și efecte secundare
Există riscuri rare asociate cu fațetele dentare Lumineers:
- Sensibilitate dentară ;
- Inconsecvențe de culoare;
- Inflamația gingiilor;
- Iritarea gingiilor;
- Poziționarea incorectă a fațetelor;
- Diferențe de culoare între dinții dumneavoastră și fațetele.
De aceea, ar trebui să aveți încredere în noi pentru a vă ajuta să alegeți chirurgul potrivit în Istanbul și să optați pentru un practician cu reputație și experiență.
În plus, această operație este permisă în Islam. Este o operație halal, nu haram, deoarece oferă un avantaj medical și îmbunătățește calitatea vieții unei persoane.
Cât timp durează?
Lumineers sunt un tip de fațete progresive care oferă un zâmbet Hollywood Smile rapid și nedureros. Luminerele sunt puternice și durabile, la fel ca dinții naturali.
Mulți pacienți preferă Lumineers în locul fațetelor tradiționale, deoarece Lumineers necesită puțină sau deloc pregătire. Fațetele dentare Lumineers sunt proiectate să dureze între 10 și 20 de ani cu o bună igienă orală și îngrijire.
Acest lucru înseamnă periajul de două ori pe zi, folosirea zilnică a aței dentare și programarea unor controale regulate la clinicile stomatologice din Turcia. Astfel, vă veți asigura că dinții și gingiile dumneavoastră sunt în stare bună de sănătate, oferindu-vă un zâmbet care va dura ani de zile.
În acești ani, tratamentul dentar poate fi efectuat fără griji pentru Lumineers. De asemenea, aceștia beneficiază de o garanție de 5 ani și pot fi înlocuiți gratuit. Adresați-vă medicului dumneavoastră stomatolog pentru mai multe detalii, deoarece se aplică anumite restricții.
Cât costă o fațetă dentară Lumineers?
Costul fațetelor dentare Lumineers în Turcia poate varia în funcție de clinica dentară și de numărul de dinți care urmează să fie acoperiți. Cu toate acestea, prețul unui tratament dentar Lumineers în Turcia pentru un singur dinte este în general între 350 și 500 de euro.

Pot fi aplicate fațete Lumineers pe alte fațete?
În cazul în care fațeta se desprinde sau se deteriorează, pacienții nu trebuie să încerce să o repare singuri. Contactați-ne pentru a face o programare.
Păstrați restaurarea în siguranță până când puteți veni la cabinet, astfel încât medicul dentist să poată evalua problema și să determine cel mai bun curs de acțiune. El poate fi capabil să repare fațetele ușoare sau să le înlocuiască dacă există suficiente daune. Tratamentul dentar este predat pacientului, iar clinica dentară poate începe consultația fără nicio durere.
Cui se adresează Lumineers?
Fațetele dentare Lumineers pot fi potrivite pentru oricine care își dorește un zâmbet fără durere. Patru din cinci pacienți rechemați sunt candidați pentru Lumineers. Luminerele dentare sunt cel mai mare pas spre obținerea zâmbetului pe care pacienții și-l doresc.
Aceste “modelatoare de zâmbet” în formă de lentile de contact sunt atât de subțiri, dar atât de rezistente, încât nu este nevoie să se îndepărteze structura sensibilă a dinților, nu este nevoie de anestezie, nu este nevoie de proteze temporare și, prin urmare, nu este nevoie de durere. Indiferent de problema zâmbetului pacientului, Lumineers este soluția perfectă.
Adolescenții și preadolescenții pot beneficia de Lumineers și, înainte de a oferi un plan de tratament la clinica dentară din Turcia, medicul stomatolog va face o radiografie a pacientului doar pentru o verificare normală. Pacienții cu HIV sunt, de asemenea, eligibili.
În plus, ne asigurăm că persoanele cu mobilitate redusă (PMR) au acces ușor la toate zonele unității noastre.
Cât costă o fațetă dentară Lumineers?
În Turcia, costul mediu al unei fațete dentare Lumineers este de 390 de euro, cu un minim de 180 de euro și un maxim de 390 de euro. În Istanbul, prețurile sunt întotdeauna un pic mai scumpe decât în Ankara, Antalya sau Izmir. Acest preț variază în funcție de numărul de fațete care urmează să fie montate și de reputația chirurgului dentar.
Dacă aveți probleme în a face o alegere, vă putem ajuta să reușiți să faceți o procedură de succes, și la un preț redus.
Profitați de o evaluare GRATUITĂ!
La cerere și
fără nicio obligație din partea dumneavoastră.
Consultație 100% gratuită. Analizăm situația dumneavoastră, nevoile și așteptările dumneavoastră. Și estimăm bugetul necesar pentru : Zbor + Hotel + Taxi + Tratament.
În orice moment, păstrați controlul complet asupra procesului. O liniște totală.
Întrebări frecvente
Cât timp durează fațetele Lumineers?
Fațetele dentare Lumineers sunt deosebit de durabile. Datorită procesului meticulos de fabricație, acestea pot dura mai mult de 20 de ani. Cu îngrijirea potrivită, vă puteți bucura de un zâmbet strălucitor pentru mulți ani de acum încolo.
Există o limită de vârstă pentru fațetele Lumineers?
Nu, fațetele Lumineers pot fi aplicate la orice vârstă. Acestea pot corecta dinții deteriorați, uzați sau decolorați atât la pacienții tineri, cât și la cei în vârstă. Ele pot fi montate chiar și peste protezele dentare existente pentru a le corecta aspectul.
Sunt garantate fațetele dentare Lumineers în Turcia?
Fațetele dentare Lumineers sunt garantate timp de 5 ani din ziua în care sunt montate, oriunde în lume. Atunci când apare o problemă, aceasta este în principal în această perioadă. Totuși, acest lucru este foarte rar și majoritatea fațetelor Lumineers durează mai mult de 20 de ani fără probleme.
Pot fațetele dentare Lumineers să corecteze dinții nefericiți?
Da, fațetele dentare Lumineers pot fi montate pentru a masca sau reduce spațiul dintre doi dinți, inclusiv spațiul dintre “dinții fericiți”. Pacientul își recapătă un zâmbet de care este pe deplin mulțumit, fără a fi nevoie de un tratament ortodontic care necesită mult timp.
Care este cea mai ieftină țară pentru fațete dentare?
Pentru a beneficia de cele mai bune prețuri, este o idee bună să vă montați fațetele dentare în străinătate. Ungaria este unul dintre liderii în turismul dentar, cu prețuri mici și calitate de top. România și Turcia oferă, de asemenea, servicii excelente și la prețuri reduse pentru fațete și coroane dentare.





