Prețul unui implant dentar în Tunisia
Costul mediu al unui implant dentar în Tunisia este de 320 de euro. În funcție de nevoile dumneavoastră, prețul poate varia între 200 și 350 de euro. Procedura se efectuează sub anestezie locală și durează între 20 și 40 de minute. Durata de ședere este de 4-7 zile. Prețul include anestezia, operația și medicația. Rezultatul final este vizibil imediat.
| Implant dentar Easyimplant® | 320 € |
| Implantul dentar Ankylos® – 1,5 euro | 610 € |
| Strausmann® implant dentar | 750 € |
| Coroană din metal-ceramică | 150 € |
| Coroană din zirconiu | 250 € |
Ce este un implant dentar?
Un implant dentar în Tunisia este o procedură de înlocuire a dinților. Dacă ați pierdut un dinte, un implant dentar este o modalitate sigură, stabilă și permanentă de a obține un dinte nou care arată, se simte și se comportă ca al dumneavoastră.
Implantul dentar este, de fapt, rădăcina dintelui de înlocuire care este integrată în osul maxilarului. Acesta este poziționat sub linia gingivală, astfel încât să nu fie vizibil; un stâlp scurt este apoi atașat la implant, ieșind prin gingie, peste care se plasează o coroană (dinte fals).

Sunt un candidat bun pentru implanturi dentare?
Implanturile dentare sunt potrivite pentru persoanele care au o stare de sănătate bună și nu au pierderi osoase în maxilar. Pierderea osoasă apare, de obicei, atunci când boala gingivală avansată a progresat la nivelul maxilarului.
Această boală atacă țesuturile care țin dinții la locul lor, provocând căderea acestora. Dacă v-ați pierdut un dinte ca urmare a acestei boli, este puțin probabil să existe suficient os în maxilarul dumneavoastră pentru a găzdui un implant dentar, cu excepția cazului în care acesta este reconstruit printr-o procedură chirurgicală separată numită grefă osoasă. Deși grefa osoasă este o procedură obișnuită, aceasta poate întârzia plasarea implantului dentar cu până la un an.
Fumătorii nu sunt candidați buni pentru implanturile dentare. Fumatul compromite capacitatea organismului de a lupta împotriva infecțiilor și de a se vindeca; de asemenea, reduce fluxul sanguin, ceea ce reduce cantitatea de oxigen și nutrienți care pot ajunge la celule.
Dacă continuați să fumați, implantul este deosebit de expus riscului atunci când este montat pentru prima dată, dar va rămâne așa pe toată durata sa de viață, putând duce la eșecul său.

● Există o singură școală de stomatologie în Tunisia și aceasta acceptă doar cei mai buni candidați pentru a se forma ca dentiști. Formarea este la același nivel ca în țările occidentale, cu cinci ani de studiu, urmați de un an de stagiu și apoi de o formare de specialitate, de exemplu în implantologie.
● Este probabil ca medicii dentiști din Tunisia să fie membri ai unor organizații profesionale de renume, cum ar fi Congresul Internațional al Implantologilor Orali (ICOI ).
● Unitățile stomatologice private din Tunisia sunt moderne și dotate cu cele mai recente tehnologii de diagnosticare și terapie, inclusiv raze X digitale și scanare 3D/CT.
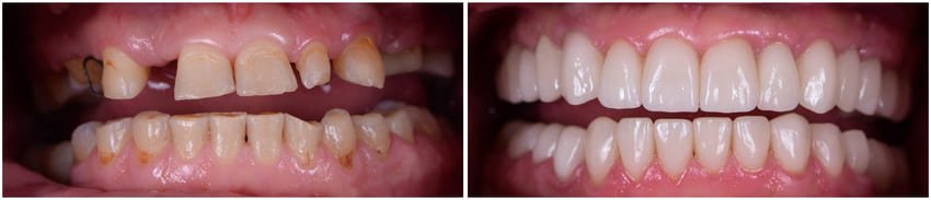
Fotografii înainte/după




Desfășurarea procedurii
Aproape orice procedură dentară poate fi efectuată cu succes în calitate de turist dentar, iar implanturile dentare nu fac excepție. Cu toate acestea, este vorba de un proces în două etape, așa că va trebui să planificați două călătorii scurte separate în Tunisia pentru a finaliza procedura de implant dentar.
La prima vizită, implantul dentar va fi plasat în maxilarul dumneavoastră. Este posibil să fie mai mult de un implant, în funcție de nevoile dumneavoastră. Procedura se efectuează sub anestezie locală sau sedare conștientă. Medicul dentist face o mică incizie în gingie.
Gingia este pliată înapoi pentru a forma o clapetă, astfel încât medicul dentist să poată avea acces la maxilar. Se face apoi o mică gaură în maxilar și se introduce implantul. Flanșa gingivală este cusută la loc și, odată ce cusăturile s-au dizolvat, nu veți mai vedea nicio urmă a implantului în gură.
Implantul este apoi lăsat la locul lui timp de cel puțin trei luni – adesea mai mult – timp în care se va contopi cu osul maxilarului printr-un proces numit osteointegrare. Scopul acestui proces este de a oferi o bază solidă pentru montarea dintelui fals. De asemenea, oferă gingiilor dumneavoastră timp să se vindece.
La a doua vizită, medicul dentist vă va deschide din nou gingia, de obicei sub anestezie locală, pentru a expune implanturile. Un mic stâlp (pilon) este atașat la implant la un capăt, iar celălalt capăt iese prin gingie. O coroană (dinte fals) este atașată la acest capăt, finalizând astfel procedura de implant dentar.
Implant Rezumat al intervalului de timp:

● Faza 1: În timpul primei călătorii în Tunisia, implantul dentar este plasat în maxilarul dumneavoastră. Procedura durează, în mod normal, 1 sau 2 ore. Vă puteți întoarce acasă după câteva zile, la sfatul medicului dentist.
● Faza 2: Va trebui să așteptați cel puțin trei luni înainte de a vă întoarce în Tunisia. Un dentist local poate confirma dacă dumneavoastră și implantul dumneavoastră sunteți pregătiți (pentru o taxă mică).
● Faza 3: Întoarceți-vă în Tunisia după trei luni (sau mai mult) pentru a vi se monta coroana. Ar trebui să fie nevoie să rămâneți în țară doar câteva zile pentru a finaliza această etapă finală.
Aveți probleme în alegerea clinicii potrivite la cel mai bun preț? Coordonatorul nostru vă poate ajuta să faceți ca operația dvs. în Tunisia să fie un succes, în mod gratuit. Cereți-ne o ofertă gratuită.
Profitați de o evaluare GRATUITĂ!
La cerere și
fără nicio obligație din partea dumneavoastră.
Consultație 100% gratuită. Analizăm situația dumneavoastră, nevoile și așteptările dumneavoastră. Și estimăm bugetul necesar pentru : Zbor + Hotel + Taxi + Tratament.
În orice moment, păstrați controlul complet asupra procesului. O liniște totală.